橿原市
医療・健康
Belle White
2024.05.8
『Belle White』
今回お邪魔したのは、
奈良県橿原市にある
Belle White(ベル ホワイト)さん。

![]()

お店の方の想い♡

当店のコンセプトは
「コンプレックスを自信に変えて
新しい明日を叶える」✨
皆様のお悩みを
解決していける店でありたいです🍃
笑顔に自信が持てるよう
サポートいたします🎶
これから社会に出る
若い方にもおすすめですよ🌸

おすすめPOINT▼
機械にもこだわっていて
薄い毛にも濃い毛にも対応できますよ🍀
毛のストレスから解放されて
つるつる美肌に生まれ変わりましょう✨
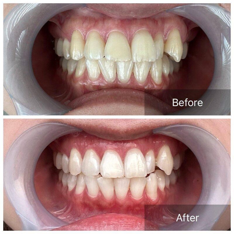
■ 医療セルフホワイトニング

奈良県初導入❗
医療セルフホワイトニングのできるサロンです🌹
オンライン診療で歯医者さんホワイトニングが
低価格でご利用いただけます🤗
もっと白くしたい人や
早く効果を得たい人におすすめ🌈
■ 美容セルフホワイトニング

使用する薬剤が
食品や化粧品にも含まれるものですので
万が一体内に入っても大丈夫👩
お子様にもご利用いただけます🎈
コーティング作用もあるので
着色しにくくなりますよ🌟

店舗基本情報
| 店名 | Belle White |
| ジャンル | 美容サロン |
| 電話番号 | 070-1736-3111 |
| 予約可否 | 完全予約制 |
| 住所 | 〒634-0843 奈良県橿原市 北妙法寺町586 2F |
| 営業時間 | 10:00~20:00 月・木 17:00~21:00の時間帯は男性限定(要相談) |
| 定休日 | 火曜日・第2第4日曜日 |
| 予算 | ¥550~ |
| 支払い方法 | 現金
【カード】 【QR決済】 |
| 客席 | ベッド1台/ホワイトニング2部屋 |
| 禁煙・喫煙 | 禁煙 |
| 駐車場 | 5台 |
| HP | Googleマイビジネス 公式ホームページ |
| SNS | Instagram 公式LINE |










