今回のつなぐっどは、
新潟県南魚沼市にある
『whitening beauty 南魚沼店』
(ホワイトニングビューティーミナミウオヌマテン)さん。

![]()

お店の方の想い♡
歯を白くしたいという声は多いのに、
「どこで、どうやってできるの?」
と迷う方がたくさん😥
この地域ではホワイトニングができる
歯科医院が少なく、
“白い歯を叶えたい”という想いに
寄り添いたくてお店をオープンしました✨
歯科衛生士として
20年以上の経験と知識を活かし、
歯のプロだからこそできる見極めとケアで、
安心してホワイトニングを
受けていただけます🦷💎
「もう白くならない」と諦めていた方にも、
ぜひ一度ご相談いただければ嬉しいです🌿

おすすめPOINT▼
■ 地域で唯一、歯科衛生士在中
国家資格を持つ歯科衛生士が
マンツーマンでサポート🙆♀️
施術中も丁寧にアシストするので、
初めての方でも安心です🔰
1回の施術はおよそ1時間ほどで完了。
アメリカの歯科材料メーカーと提携した
高品質ジェルを使用しており、
安全性と効果の両立を実現しています🌿
プライベート空間で、
お友達やご夫婦お二人での
ご来店も可能です♡
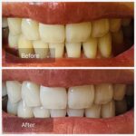
■ 芸能人のように白い歯に
ナチュラルな明るさから、
芸能人のような真っ白な歯まで、
お好みに合わせた白さを目指せます🦷
1回目から効果を実感される方も多く、
3回目には白さを実感できる方が
ほとんど!
理想の白さを目指すには
5〜10回ほどがお勧めです。
差し歯や被せ物があっても
安心してご相談ください。
歯の専門家ならではのアドバイスが
受けられます🌿
■ 半個室でリラックス
お口はとてもデリケートな部分。
だからこそ他の方に見られる心配がない
半個室空間で施術が受けられます🛋️
清潔な店内環境にもこだわっていますので
快適に過ごしてください🎵
初めての方には、
食生活や飲み物のカウンセリングを行い、
医療ホワイトニングや
美容ホワイトニングの違いについても
丁寧にご説明。
使用しているジェルは
歯磨き粉と同じ成分で作られており、
殺菌・抗菌作用によって
虫歯や歯槽膿漏の予防にも効果的。
さらにコーティング効果で、
回数を重ねるごとに汚れや黄ばみが
つきにくい歯になるんです💗
歯科衛生士歴28年の経験を活かし、
あなたの「理想の笑顔」に
寄り添います😊

店舗基本情報
| 店名 | whitening beauty 南魚沼店 |
| ご連絡先 | Instagram 公式LINE |
| 予約可否 | 完全予約制 |
| 住所 | 〒949-7101 新潟県南魚沼市 五日町184-5 |
| 営業時間 | 9:00〜18:00 ※新規様最終予約16:00 |
| 定休日 | 不定休 |
| 支払い方法 | 現金、クレジットカード、その他キャッシュレス |
| HP | 公式ホームページ Googleビジネスプロフィール |
| SNS |
白く輝く歯は、自信と笑顔の源。
「安心・安全・確かな技術」で
理想の白さを叶えませんか?💎













